We've updated our Privacy Policy to make it clearer how we use your personal data. We use cookies to provide you with a better experience. You can read our Cookie Policy here.

Advertisement

News

Someone taking a water sample.
News

Transforming Wastewater into High-Value Biopolymers

Researchers are developing methods to extract valuable biopolymers from wastewater treatment plants. These biopolymers offer sustainable alternatives to oil-based products, with potential applications in industries like construction and paper.
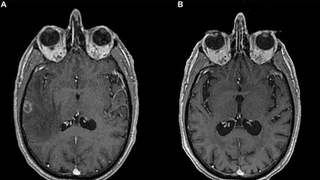
Brain MRI at diagnosis and last Brain MRI performed.
News

Complete Response to Immunotherapy in Stage IV Lung Cancer

A case report highlights a 51-year-old man with stage IV non-small cell lung cancer and brain metastasis who received whole brain radiotherapy followed by immune checkpoint inhibitor treatment.
Protein structure.
News

RTP801 Protein Linked to Cognitive Decline in Alzheimer’s Patients

Researchers reveal that RTP801, a protein elevated in Alzheimer’s patients, disrupts RNA processing and protein synthesis, exacerbating cognitive decline. This discovery could lead to new therapeutic strategies.
Cancer cell (orange) highlighted in a target crossfire
News

Unraveling Cancer Drug Resistance

Researchers have mapped the genetic landscape of cancer drug resistance, uncovering that DNA changes can be grouped into four main categories and highlighting possible new therapeutic targets.
City sky line
News

Adaptive Microbial Evolution in Sterile Urban Environments

New research shows microbes in our cities are evolving to resist the very cleaners we use to eliminate them. It also identifies novel strains living in Hong Kong that were previously only found in Antarctic desert soil.
A human brain showing interconnected areas.
News

Different Types of Fear Activate Different Parts of the Brain

Using MRI scans, a new study has found that neural responses to different types of fears activated different brain areas, rather than following a single pattern.
Neural cells with red lights illustrating cell signalling
News

Researchers Reactivate Dormant Neural Stem Cells in Fruit Flies

An international team of neuroscientists showed for the first time that modifying a protein that controls cell growth can reactivate dormant neural stem cells in fruit flies, offering new hope in the fight against neurological diseases.
Cancer cells.
News

Healthy Diet May Prevent Low-Risk Prostate Cancer From Becoming More Aggressive

A study from Johns Hopkins Medicine reveals that men with low-risk prostate cancer may reduce their progression risk by adhering to a healthy diet. Higher scores on the Healthy Eating Index correlated with lower rates of grade reclassification.
A doctor holding a tablet projecting a screen in the air.
News

Researchers Use AI To Detect Antibiotic Resistance in Bacteria

Researchers have developed an AI model, “EUCAST-GPT-expert,” using GPT-4 to analyze antibiotic resistance through the Kirby-Bauer disk diffusion test. While the AI tool aids in identifying resistance, it is not as accurate as human experts.
COlorectal cancer cells stained purple, green and blue.
News

Metabolic Map of Colorectal Cancer Challenges Classifications of the Disease

A new study offers fresh insights into our understanding of colorectal cancer, challenging the conventional right- and left-sided disease classifications.
Advertisement